ログイン
美容室
美容室
ネイル
ネイル
マツエク
マツエク
眉毛サロン
眉毛サロン
エステ・リラク
エステ
カタログ
カタログ
トップ
エステ・リラク
東京
渋谷
神泉駅
M渋谷 ホワイトニング
フォト
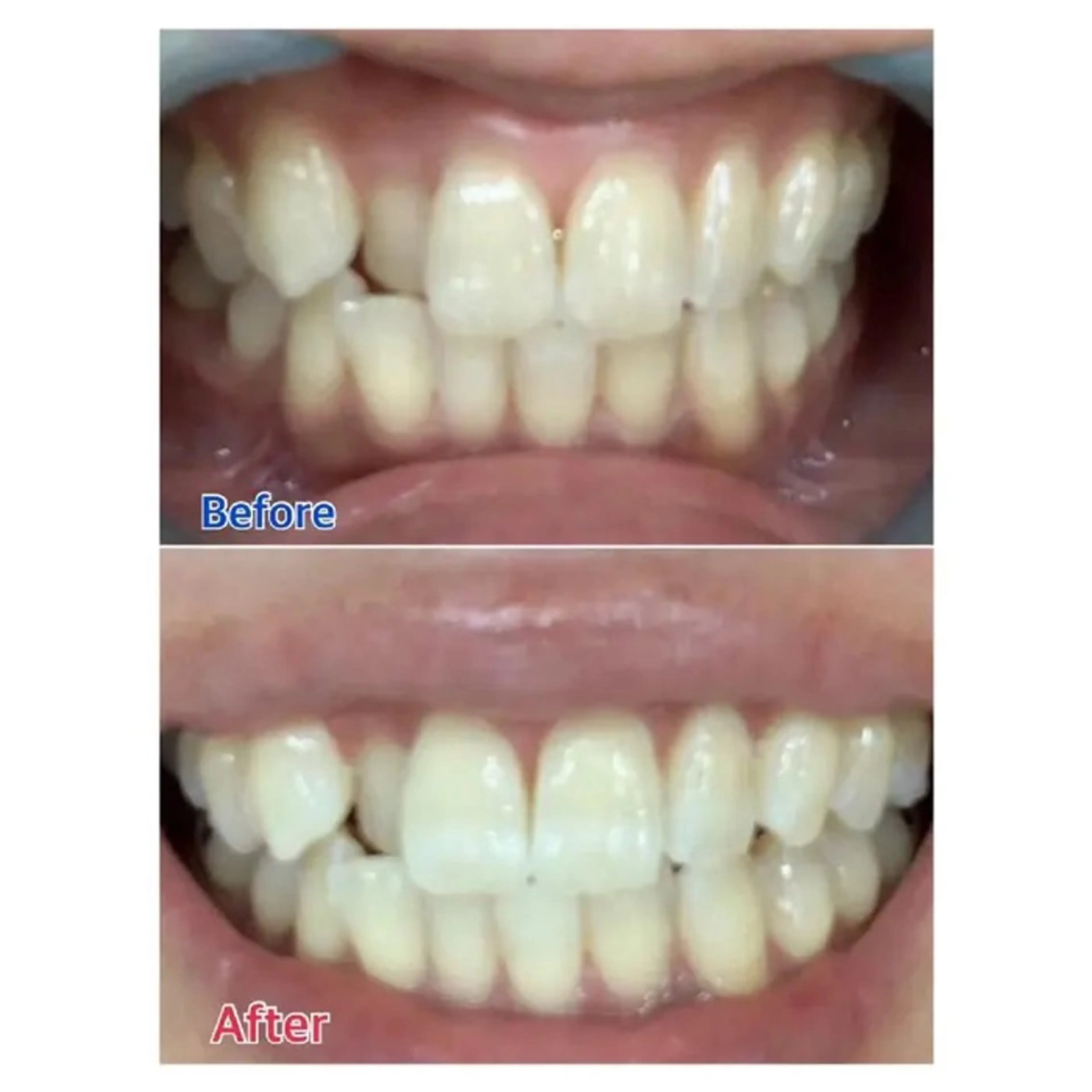
🦷お客様のビフォーアフターのお…
M渋谷店
M渋谷 ホワイトニング
経験年数 9年
4.8
90
1936
神泉駅2分 / 渋谷駅5分 / 駒場東大前駅15分 / 代官山駅18分
2026年4月17日
更新
仕上がり満足度が高い
90%のお客様が高い評価をつけています
サービス満足度が高い
90%のお客様が高い評価をつけています
トップ
フォト
メニュー
口コミ
🦷お客様のビフォーアフターのお…
🦷お客様のビフォーアフターのお写真です🦷
2023年11月4日(土)15:29投稿
エステ・リラクフォト一覧
フォトをすべて見る(2437)
メニュー・料金
ミニモ限定
エステ
リラク
🉐1日1名様限定🉐ミニモ特割ホワイトニングコース🦷✨!
新規
¥2,000
予約
新規
¥2,000
予約
ミニモ
限定
ミニモ限定メニュー
利用条件
対象期間
04/01(水)〜04/30(木)
その他
☆初回限定☆学割!!1回でわかるホワイトニング体験コース🦷
新規
¥1,500
予約
新規
¥1,500
予約
その他
☆minimo限定☆学割!ホワイトニング体験ロングコース🦷!
新規
¥2,000
予約
新規
¥2,000
予約
ミニモ限定
その他
【最新技術ローマピンク💗唇】黒ずみをアナタ本来のピンク肌へ..✨ アフタークリーム13,200円無料プレゼント🎁
全員
¥99,000
予約
全員
¥99,000
予約
ミニモ
限定
施術費用99,000円➕アフタークリーム13,200円 ⇨アフタークリーム無料でプレゼント🎁✨ 一度の施術で黒ずみケア✨ 専用セラムを塗布し、肌のターンオーバーを促し、本来のピンクのお肌へ💗
ミニモ限定
エステ
リラク
4月限定!【研修生対応】陶肌ハーブピーリング 通常16,500円→3,300円※メッセージにてご予約確定
新規
¥3,300
予約
新規
¥3,300
予約
ミニモ
限定
ミニモ限定プランです!
利用条件
対象期間
04/01(水)〜04/30(木)
メニューをすべて見る(31)
M渋谷店の詳細情報
M渋谷店
東京都渋谷区円山町5-4 feelA SHIBUYA504 (
地図
)
神泉駅2分 / 渋谷駅5分 / 駒場東大前駅15分 / 代官山駅18分
エリア
神泉駅
営業時間
月 11:00-20:00 火 11:00-20:00 水 11:00-20:00 木 11:00-20:00 金 11:00-20:00 土 11:00-20:00 日 11:00-20:00 祝 11:00-20:00
お支払い
現金
現金可
クレジットカード
Mastercard / Visa / JCB / American Express / Diners Club / Discover
席数
2席
駐車場
近くにコインパーキングあり
禁煙・喫煙
禁煙
お子様連れ
お子様連れ可
その他
メンズ歓迎
サロン電話番号
お問い合わせ先
M渋谷 ホワイトニング
フォト
メニュー
口コミ
渋谷区で他におすすめのエステ・リラクゼーションサロン一覧
今日行ける渋谷区のエステ・リラクゼーションサロン
明日行ける渋谷区のエステ・リラクゼーションサロン
東京都で他におすすめのエステ・リラクゼーションサロン一覧
今日行ける東京都のエステ・リラクゼーションサロン
明日行ける東京都のエステ・リラクゼーションサロン
M渋谷店付近の駅のエステ・リラクゼーションサロンを探す
神泉駅
渋谷駅
駒場東大前駅
代官山駅
中目黒駅
代々木八幡駅