ログイン
美容室
美容室
ネイル
ネイル
マツエク
マツエク
眉毛サロン
眉毛サロン
エステ・リラク
エステ
カタログ
カタログ
トップ
美容サロン
大阪
福島・野田
福島駅
whiteclub.THREE福島店所属・whiteclub THREE
美容サロンカタログ
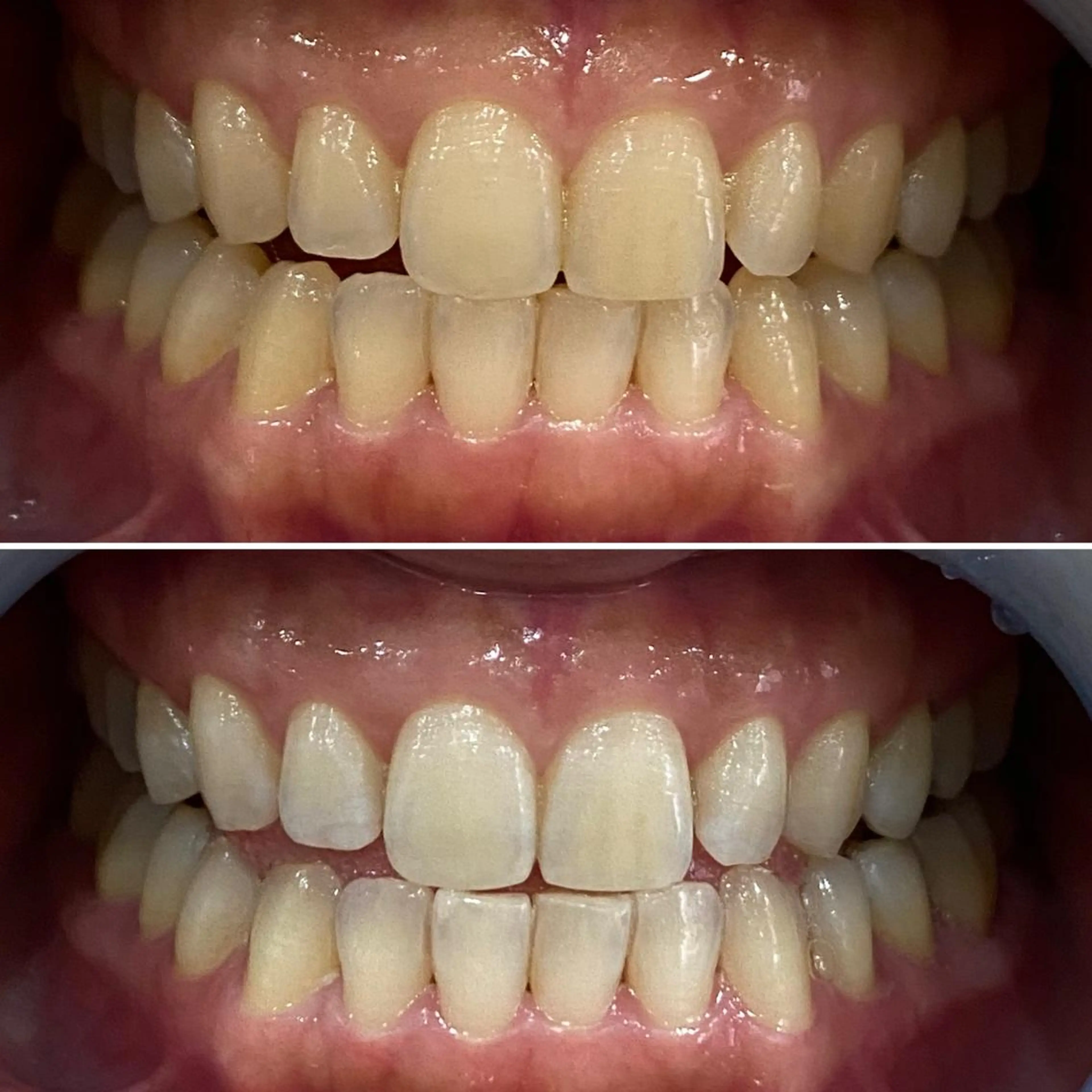
セルフホワイト たった1回のビフォーアフター💎
whiteclub.THREE福島店
whiteclub THREE
経験年数 2年
4.9
14
305
福島駅5分 / 大阪駅10分
2025年6月24日
更新
仕上がり満足度が高い
100%のお客様が高い評価をつけています
サービス満足度が高い
100%のお客様が高い評価をつけています
トップ
フォト
メニュー
口コミ
セルフホワイト たった1回のビフォーアフター💎 by whiteclub.THREE福島店所属・whiteclub THREE
セルフホワイト たった1回のビフォーアフター💎
2023年1月24日(火)11:26投稿
対応メニュー
その他
📸《ミニモ限定》セルフホワイトニングモニター様募集🦷✨15分/1,000円(税込)💰
新規
¥1,000
予約
新規
¥1,000
予約
簡単なのにしっかり効果◎✨ お写真OKな方限定の特別モニター募集です🌈 ⸻ 🌟メニュー内容 ・セルフホワイトニング(施術時間 約15分) ・初回カウンセリング付き📝 ・1回でもトーンアップを実感される方多数✨ ・歯のくすみ・黄ばみが気になる方に◎ ・最新のマシンで痛みなし/安心安全🦷 ⸻ 📝モニター条件(※必ずご確認ください) 1️⃣ 施術風景・ビフォーアフターの撮影にご協力いただける方📷 2️⃣ 撮影した写真を当サロンのSNSやWEBで使用する場合がございます🙇♀️ 3️⃣ ご自身のInstagramにてお店のタグ付け投稿(ストーリーのみ不可)✨ 4️⃣ ミニモ・Googleでの口コミ投稿にご協力いただける方📝 ※すべてご了承いただける方のみご予約をお願いします💓 ⸻ 💬 初めての方もご安心ください♪ 「セルフって不安…」という方にも安心してご利用いただけるよう、 丁寧なカウンセリング&使い方の説明をしっかり行います☺️ わからないことがあれば、なんでもご相談ください♪ ⸻ 💎 この機会に“歯のエステ”をぜひ体験してみてください♪ たった15分のケアで、 「笑顔がもっと自信に✨」「顔色が明るく見える✨」と大好評🦷🌼 初回限定・今だけの特別価格です💰
詳細を見る
whiteclub.THREE福島店所属・whiteclub THREEの美容サロンカタログ
フォトをすべて見る(61)
whiteclub.THREE福島店所属・whiteclub THREEのメニュー
その他
📸《ミニモ限定》セルフホワイトニングモニター様募集🦷✨15分/1,000円(税込)💰
新規
¥1,000
予約
新規
¥1,000
予約
その他
🦷セルフホワイトニング✨LED照射15分/¥1,000(税込)痛みなし◎まずはお試しにぴったり🌟
新規
¥2,800
予約
新規
¥2,800
予約
その他
🦷セルフホワイトニング《15分×2回照射》✨minimo限定❣️初回30%OFFクーポンあり💓
新規
¥4,600
予約
新規
¥4,600
予約
その他
🦷セルフホワイトニング1DAY集中✨LED照射20分×3回!minimo限定❣️当日しっかり白くしたい方に💎
全員
¥9,900
予約
全員
¥9,900
予約
whiteclub.THREE福島店の詳細情報
whiteclub.THREE福島店
大阪府大阪市北区大淀南1-9-19 エンパイアービル702 (
地図
)
福島駅5分 / 大阪駅10分
📍JR環状線福島駅徒歩5分 📍JR大阪駅から徒歩10分
エリア
福島駅
営業時間
月 10:00-19:00 火 10:00-19:00 水 10:00-19:00 木 10:00-19:00 金 10:00-19:00 土 10:00-19:00 日 10:00-19:00 祝 10:00-19:00
お支払い
現金
現金可
クレジットカード
Mastercard / Visa / American Express
その他決済
PayPay
駐車場
近くにコインパーキングあり
禁煙・喫煙
禁煙
お子様連れ
お子様連れ可
その他
メンズ歓迎
サロン電話番号
お問い合わせ先
whiteclub THREE
フォト
メニュー
口コミ
大阪市北区で他におすすめの美容サロン一覧
明日行ける大阪市北区の美容サロン
メンズも歓迎な大阪市北区の美容サロン
ヘアセットができる大阪市北区の美容サロン
ヘッドスパができる大阪市北区の美容サロン
大阪府で他におすすめの美容サロン一覧
明日行ける大阪府の美容サロン
メンズも歓迎な大阪府の美容サロン
ヘアセットができる大阪府の美容サロン
ヘッドスパができる大阪府の美容サロン
whiteclub.THREE福島店付近の駅の美容サロンを探す
福島駅
中津駅
梅田駅
中之島駅
野田阪神駅
肥後橋駅