ログイン
美容室
美容室
ネイル
ネイル
マツエク
マツエク
眉毛サロン
眉毛サロン
エステ・リラク
エステ
カタログ
カタログ
トップ
美容サロン
和歌山
和歌山駅
Clinical salon Bloom所属・クリニカルサロン ブルーム
美容サロンカタログ
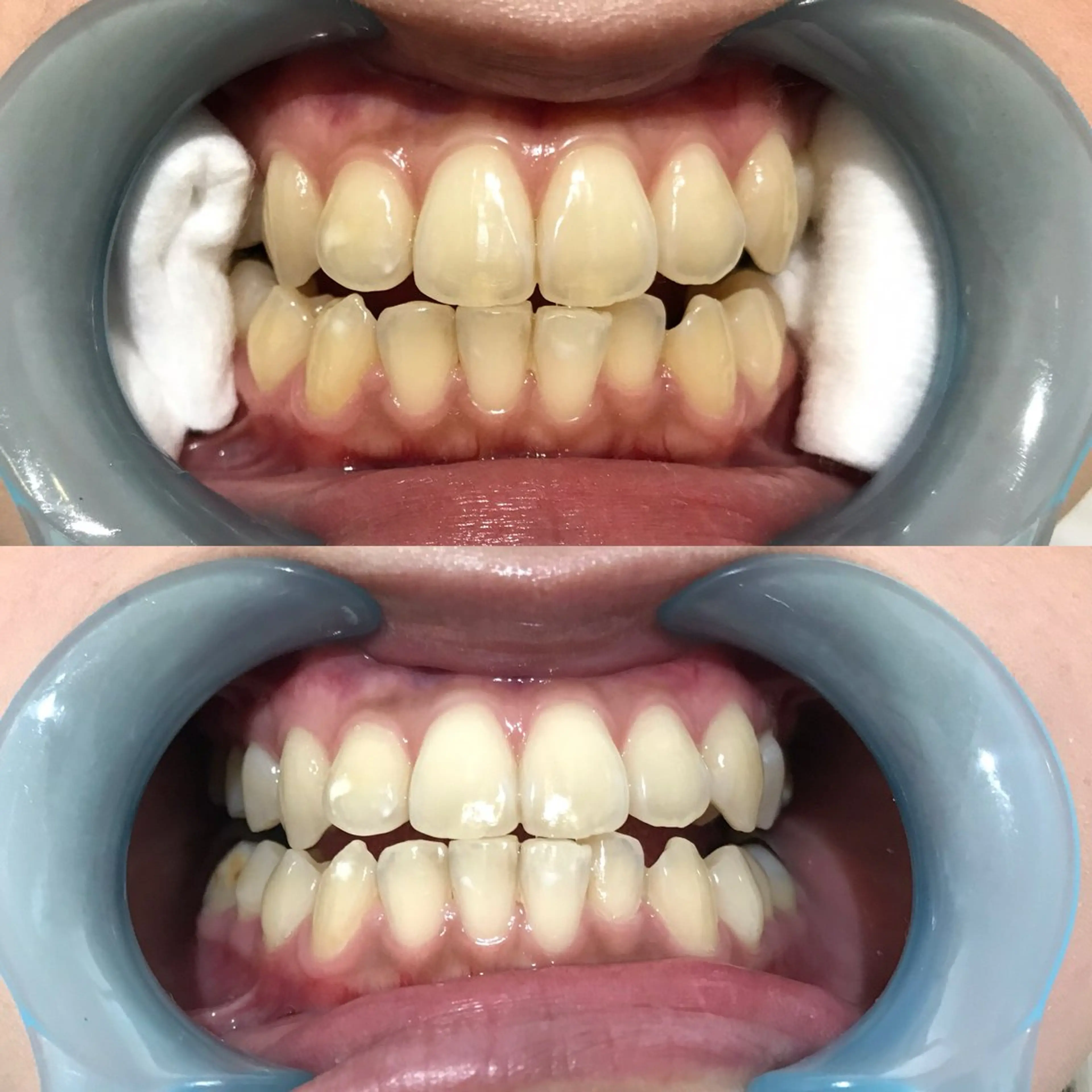
セルフホワイトニングの変化です。
Clinical salon Bloom
クリニカルサロン ブルーム
経験年数 5年
5.0
1
16
和歌山駅15分
2025年5月8日
更新
トップ
フォト
メニュー
口コミ
セルフホワイトニングの変化です。 by Clinical salon Bloom所属・クリニカルサロン ブルーム
セルフホワイトニングの変化です。
2025年3月21日(金)23:22投稿
対応メニュー
その他
【大人の身だしなみ】セルフホワイトニング60分照射
全員
¥7,500
予約
全員
¥7,500
予約
30分の照射を2回行います。がっつり白くしたい方におすすめ!
詳細を見る
Clinical salon Bloom所属・クリニカルサロン ブルームの美容サロンカタログ
フォトをすべて見る(8)
Clinical salon Bloom所属・クリニカルサロン ブルームのメニュー
その他
【大人の身だしなみ】セルフホワイトニング30分照射
全員
¥4,500
予約
全員
¥4,500
予約
その他
【大人の身だしなみ】セルフホワイトニング60分照射
全員
¥7,500
予約
全員
¥7,500
予約
脱毛
全身脱毛
全員
¥9,500
予約
全員
¥9,500
予約
脱毛
全身脱毛【顔・VIO除く】
全員
¥7,500
予約
全員
¥7,500
予約
脱毛
脱毛【両腕・両脚・背中】
全員
¥4,500
予約
全員
¥4,500
予約
メニューをすべて見る(8)
Clinical salon Bloomの詳細情報
Clinical salon Bloom
和歌山県和歌山市秋月24 しんあいクリニックセンター2階A-3 (
地図
)
和歌山駅15分
エリア
和歌山駅
営業時間
月 11:00-21:00 火 11:00-21:00 水 11:00-21:00 木 11:00-21:00 金 11:00-21:00 土 11:00-21:00 日 11:00-21:00 祝 11:00-21:00
駐車場
あり
禁煙・喫煙
禁煙
お子様連れ
なし
その他
メンズ歓迎
サロン電話番号
お問い合わせ先
クリニカルサロン ブルーム
フォト
メニュー
口コミ
和歌山市で他におすすめの美容サロン一覧
明日行ける和歌山市の美容サロン
メンズも歓迎な和歌山市の美容サロン
ヘアセットができる和歌山市の美容サロン
ヘッドスパができる和歌山市の美容サロン
和歌山県で他におすすめの美容サロン一覧
明日行ける和歌山県の美容サロン
メンズも歓迎な和歌山県の美容サロン
ヘアセットができる和歌山県の美容サロン
ヘッドスパができる和歌山県の美容サロン
Clinical salon Bloom付近の駅の美容サロンを探す
日前宮駅
和歌山駅
田中口駅