ベルフェリーチェ 早織の掲載
ベルフェリーチェ 早織のプロフィール画像

Belle Felice ベル・フェリーチェ(ベルフェリーチェ)ベルフェリーチェ 早織

経験年数 7年

星アイコン星アイコン星アイコン星アイコン半分の星アイコン
4.9
レビューアイコン6
いいね379
南栄駅12分 / 愛知大学前駅19分 / 高師駅23分
更新

エステ・リラクフォト

その他 ベルフェリーチェ 早織のエステ・リラクイメージ
ミニモ公式アプリでお得に予約

対応メニュー

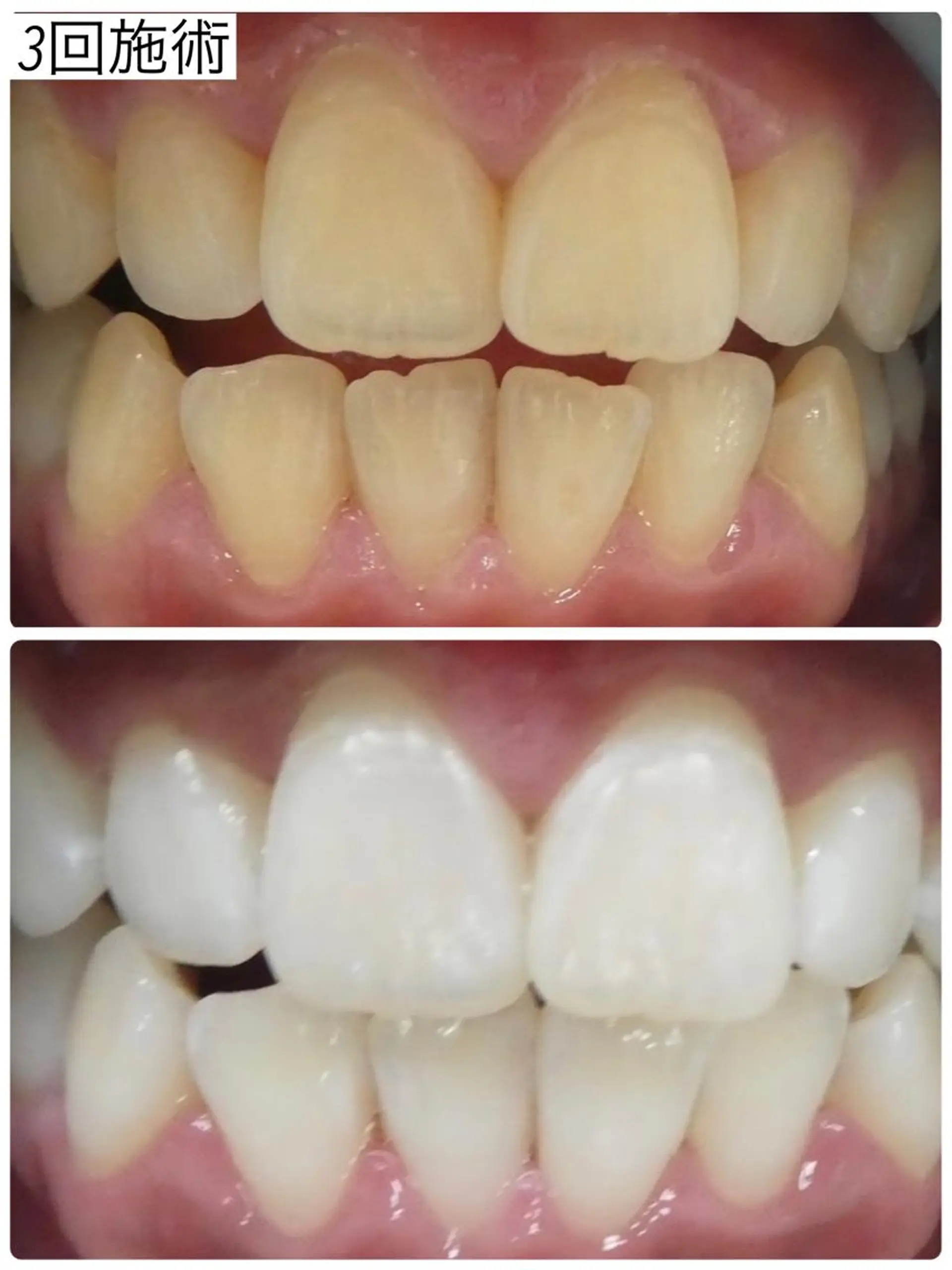
医師による診断・処方の『プレミアムホワイトニング』(メンズ可)の写真
  • その他

医師による診断・処方の『プレミアムホワイトニング』(メンズ可)

全員¥5,500
全員¥5,500
医師による診断・処方の 『プレミアムホワイトニング』 60分程/¥5,500 事前にドクターのネット受診後、医療機関専売処方品が届いてから行えます🦷✨ なのでホワイトニング施術予約確定しましたら、ドクター診療予約先のQRをお送りいたします☻ ※施術予約日の3​〜​4日前までにネット診療をお済ませ下さい! スマホで完結&簡単♬に診断してもらえます✨ ・手軽に本格的なホワイトニングをしたい方 ・医師による診断・処方 ・痛みが出にくい ・リーズナブルな価格設定 ※ 別途ホワイトニング施術前に下記ジェル代金+診療代が診療後かかります ~選べる2種類のジェル​〜​ ①ジェル代 13,200(税込) 容量:3ml 使用量:約3~4回来店分 (9​〜​12回照射分) ②ジェル代 20,570(税込) 容量:10ml 使用量:約8~10回来店分 (24~30回照射分) 診療代 2,200円(税込) ※診療代に送料も含まれています。 【①or②+診療代のお支払方法】 クレジット/デビット/お振込み

エステ・リラクフォト一覧

メニュー・料金

  • 🥈ヘッドマッサージ60分の写真
    • ミニモ限定
    • エステ
    • リラク

    🥈ヘッドマッサージ60分

    全員¥6,930
    全員¥6,930
    ミニモ
    限定
    通常¥9,900ですがミニモ限定30%オフの¥6,930でお施術いたします 1回限りの価格ですが、お施術後その場で口コミ投稿していただいた方は1ヶ月以内の2回目まで同じ金額でお施術いたします
  • 🥈自律神経を整えるヘッドセラピー40分の写真
    • ミニモ限定
    • エステ
    • リラク

    🥈自律神経を整えるヘッドセラピー40分

    全員¥5,775
    全員¥5,775
    ミニモ
    限定
    通常¥7,700ですがミニモ限定で25%オフでお施術いたします 1回限りの価格ですが、お施術後その場で口コミ投稿していただいた方は1ヶ月以内の2回目まで同じ金額でお施術いたします
  • 肌の土台強化★炭酸水素エイジングケアメニューの写真
    • エステ
    • リラク

    肌の土台強化★炭酸水素エイジングケアメニュー

    全員¥13,690
    全員¥13,690
  • 【リフトアップ】肌質改善フェイシャル+高濃度美容成分の写真
    • エステ
    • リラク

    【リフトアップ】肌質改善フェイシャル+高濃度美容成分

    全員¥12,260
    全員¥12,260
  • 🥇肌再生スペシャル全てのお悩みに対応の写真
    • エステ
    • リラク

    🥇肌再生スペシャル全てのお悩みに対応

    全員¥8,850
    全員¥8,850

Belle Felice ベル・フェリーチェの詳細情報

  • Belle Felice  ベル・フェリーチェの内観・外観1
  • Belle Felice  ベル・フェリーチェの内観・外観2
  • Belle Felice  ベル・フェリーチェの内観・外観3
愛知県豊橋市弥生町東豊和

プライベートサロンのため、住所の詳細は予約確定後にメールでお知らせします

南栄駅12分 / 愛知大学前駅19分 / 高師駅23分
バス停 豊橋市弥生町から徒歩2分
エリア
豊橋市
営業時間
月 10:00-20:00 火 10:00-20:00 水 10:00-20:00 木 10:00-20:00 金 10:00-20:00 土 10:00-20:00 日 10:00-20:00 祝 10:00-20:00 不定休ですので お問い合わせ下さい。
お支払い
現金可
Mastercard / Visa / JCB / American Express
PayPay / 楽天ペイ
席数
4席
駐車場
あり
禁煙・喫煙
禁煙
お子様連れ
お子様連れ可
サロン電話番号
お問い合わせ先