ベルフェリーチェ 早織の掲載
ベルフェリーチェ 早織のプロフィール画像

Belle Felice ベル・フェリーチェ(ベルフェリーチェ)ベルフェリーチェ 早織

経験年数 7年

星アイコン星アイコン星アイコン星アイコン半分の星アイコン
4.9
レビューアイコン6
いいね379
南栄駅12分 / 愛知大学前駅19分 / 高師駅23分
更新

エステ・リラクフォト

その他 ベルフェリーチェ 早織のエステ・リラクイメージ
ミニモ公式アプリでお得に予約

対応メニュー

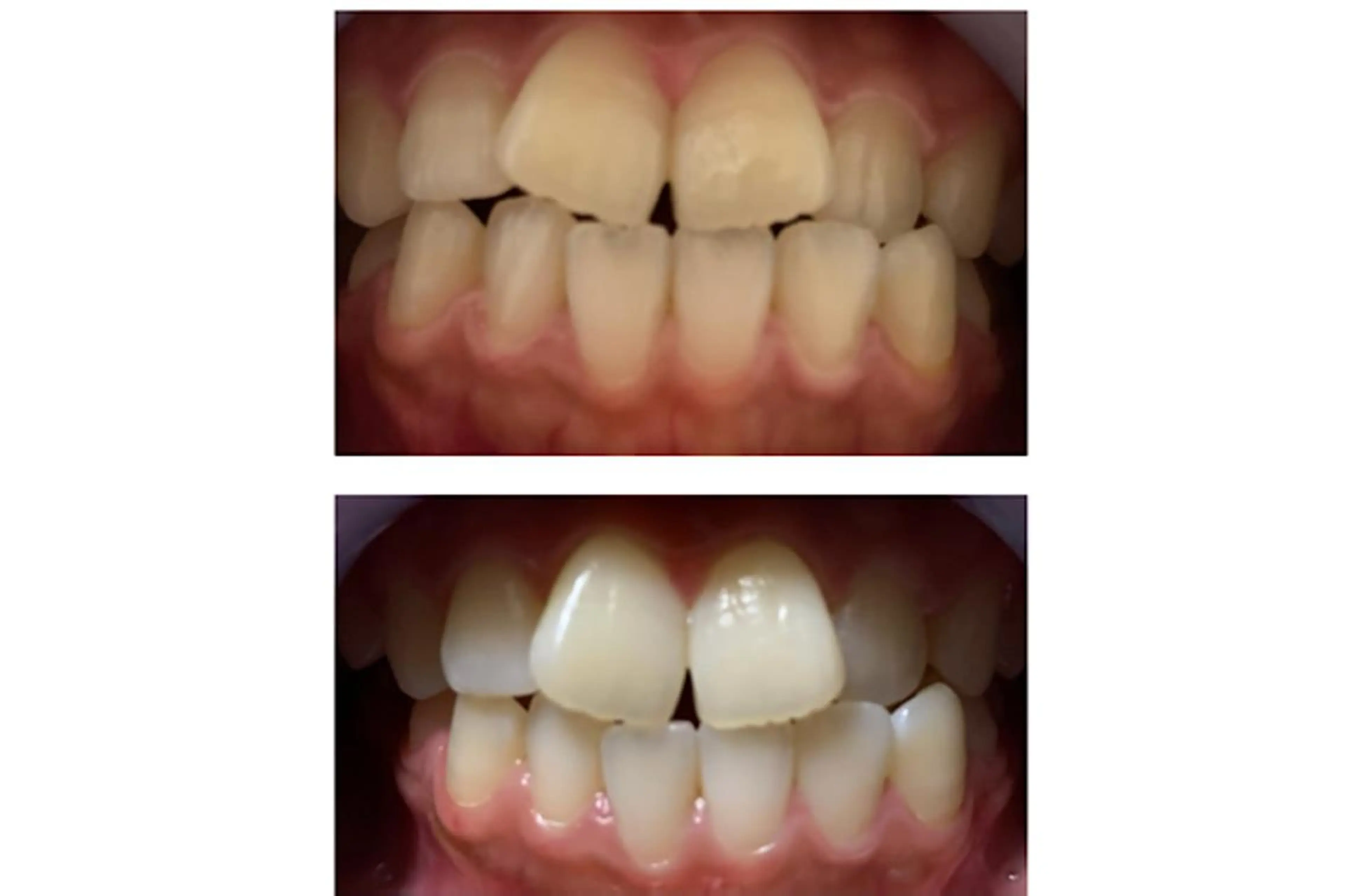
歯のホワイトニング10回通い放題🦷《メンズ可》の写真
  • その他

歯のホワイトニング10回通い放題🦷《メンズ可》

全員¥39,160
全員¥39,160
​〜​歯のホワイトニングケア​〜​10回通い放題🦷 お子様から大人までどなたでも行える、歯の汚れを落として白く健康に導いていくケアです 当サロンのホワイトニングは最新機器で歯を白くするだけではない⭐️ 照射時間もなんと5分‼️を2セット🤭 短時間でお気軽に行えます💓 ☻虫歯予防ケア ☻ツルツルになって汚れにくい♪ ☻殺菌、抗菌、ウイルスケア ☻人工歯、矯正中OK ☻妊婦さんOK ☻人体に無害(食物性のものが多いです🥕) ホワイトニング後の食事制限もございません☺️ なのでランチ前やデート前などサッとホワイトニングも可能です💓 始めの1ヶ月間程は間隔をあまり空けすぎない事をオススメしておりますので通い放題🦷をオススメしております☺️ こちらは私か当サロンスタッフが施術致します。 ご希望などもございましたらご連絡頂けたらと思います😊 ▪︎初回はカウンセリング、説明させて頂きますのでトータル40​〜​50分程お時間頂きますが次回からは20​〜​30分程で終わります☺️ ▪︎時間変更、キャンセルは、必ず前日20時までにお問い合わせ下さい ※前日20時以降のキャンセル、無断キャンセルの場合1回分消化となりますのでご注意下さい。 ※【すぐ予約】ができてもサロンの空き状況により お時間の変更をお願いするする可能性がございます ご了承下さい。

エステ・リラクフォト一覧

メニュー・料金

  • 🥈ヘッドマッサージ60分の写真
    • ミニモ限定
    • エステ
    • リラク

    🥈ヘッドマッサージ60分

    全員¥6,930
    全員¥6,930
    ミニモ
    限定
    通常¥9,900ですがミニモ限定30%オフの¥6,930でお施術いたします 1回限りの価格ですが、お施術後その場で口コミ投稿していただいた方は1ヶ月以内の2回目まで同じ金額でお施術いたします
  • 🥈自律神経を整えるヘッドセラピー40分の写真
    • ミニモ限定
    • エステ
    • リラク

    🥈自律神経を整えるヘッドセラピー40分

    全員¥5,775
    全員¥5,775
    ミニモ
    限定
    通常¥7,700ですがミニモ限定で25%オフでお施術いたします 1回限りの価格ですが、お施術後その場で口コミ投稿していただいた方は1ヶ月以内の2回目まで同じ金額でお施術いたします
  • 肌の土台強化★炭酸水素エイジングケアメニューの写真
    • エステ
    • リラク

    肌の土台強化★炭酸水素エイジングケアメニュー

    全員¥13,690
    全員¥13,690
  • 【リフトアップ】肌質改善フェイシャル+高濃度美容成分の写真
    • エステ
    • リラク

    【リフトアップ】肌質改善フェイシャル+高濃度美容成分

    全員¥12,260
    全員¥12,260
  • 🥇肌再生スペシャル全てのお悩みに対応の写真
    • エステ
    • リラク

    🥇肌再生スペシャル全てのお悩みに対応

    全員¥8,850
    全員¥8,850

Belle Felice ベル・フェリーチェの詳細情報

  • Belle Felice  ベル・フェリーチェの内観・外観1
  • Belle Felice  ベル・フェリーチェの内観・外観2
  • Belle Felice  ベル・フェリーチェの内観・外観3
愛知県豊橋市弥生町東豊和

プライベートサロンのため、住所の詳細は予約確定後にメールでお知らせします

南栄駅12分 / 愛知大学前駅19分 / 高師駅23分
バス停 豊橋市弥生町から徒歩2分
エリア
豊橋市
営業時間
月 10:00-20:00 火 10:00-20:00 水 10:00-20:00 木 10:00-20:00 金 10:00-20:00 土 10:00-20:00 日 10:00-20:00 祝 10:00-20:00 不定休ですので お問い合わせ下さい。
お支払い
現金可
Mastercard / Visa / JCB / American Express
PayPay / 楽天ペイ
席数
4席
駐車場
あり
禁煙・喫煙
禁煙
お子様連れ
お子様連れ可
サロン電話番号
お問い合わせ先