ログイン
美容室
美容室
ネイル
ネイル
マツエク
マツエク
眉毛サロン
眉毛サロン
エステ・リラク
エステ
カタログ
カタログ
トップ
美容サロン
大阪
中百舌鳥・深井
中百舌鳥駅
セルフホワイトニングサロンBian
ホワイトニングサロン Bian
美容サロンカタログ
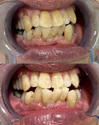
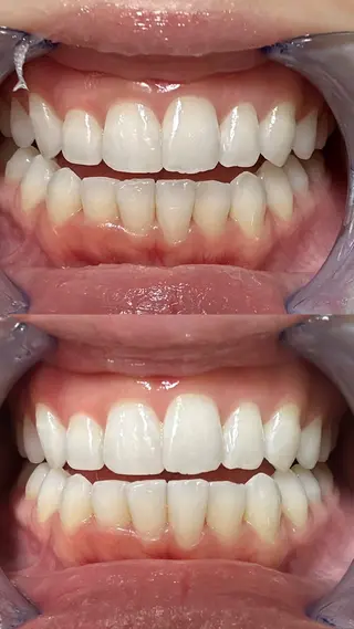
トーンアップホワイトニング回数券4回コース終了のお客様の症例写真です✨️
セルフホワイトニングサロンBian
セルフホワイトニングサロンビアン
ホワイトニングサロン Bian
経験年数 5年
4.8
2
6
なかもず駅4分 / 中百舌鳥駅4分 / 白鷺駅11分 / 百舌鳥八幡駅14分
2026年4月14日
更新
トップ
フォト
メニュー
口コミ
トーンアップホワイトニング回数券4回コース終了のお客様の症例 by ホワイトニングサロン Bian
トーンアップホワイトニング回数券4回コース終了のお客様の症例写真です✨️
2026年4月5日(日)08:21投稿
対応メニュー
ミニモ限定
その他
ホワイトニング通い放題1ヶ月
全員
¥13,200
直前割
本日来店で
¥10,560
予約
全員
¥13,200
直前割
本日来店で
¥10,560
予約
ミニモ
限定
通常16,500円のホワイトニング通い放題がオープン価格で4/30までのお申し込みで1ヶ月13,200円でご案内できます✨ ※6ヶ月間は自動継続されます ※1日1回まで
利用条件
対象期間
04/05(日)〜04/30(木)
ホワイトニングサロン Bianの美容サロンカタログ
フォトをすべて見る(7)
ホワイトニングサロン Bianのメニュー
ミニモ限定
その他
1番人気🌸トーンアップホワイトニング(20分×2回)
新規
¥3,500
直前割
本日来店で
¥2,800
予約
新規
¥3,500
直前割
本日来店で
¥2,800
予約
ミニモ
限定
通常¥5,980のトーンアップホワイトニングがオープンキャンペーン価格で¥3,500に✨
ミニモ限定
練習モデル
その他
40分連続集中照射🌟クリスタルホワイトニング
新規
¥2,980
直前割
本日来店で
¥2,086
予約
新規
¥2,980
直前割
本日来店で
¥2,086
予約
ミニモ
限定
ミニモ限定モニター価格です♪ 何回も塗り直す必要もないので面倒な方にはおすすめ🥺 通常料金¥4,980予定が今だと¥2,980です🩷
利用条件
対象期間
04/06(月)〜04/30(木)
ミニモ限定
その他
ホワイトニング通い放題1ヶ月
全員
¥13,200
直前割
本日来店で
¥10,560
予約
全員
¥13,200
直前割
本日来店で
¥10,560
予約
ミニモ
限定
通常16,500円のホワイトニング通い放題がオープン価格で4/30までのお申し込みで1ヶ月13,200円でご案内できます✨ ※6ヶ月間は自動継続されます ※1日1回まで
利用条件
対象期間
04/05(日)〜04/30(木)
ミニモ限定
その他
トーンアップセルフホワイトニング4回コース(20×2回)
新規
¥17,280
予約
新規
¥17,280
予約
ミニモ
限定
初回限定!オープンキャンペーンでお得にご案内してます(*´-`)
利用条件
対象期間
03/30(月)〜04/30(木)
ミニモ限定
その他
トーンアップセルフホワイトニング6回コース(20分×2回)
新規
¥22,680
予約
新規
¥22,680
予約
ミニモ
限定
初回限定!オープンキャンペーンでお得にご案内できます✨
利用条件
対象期間
03/30(月)〜04/30(木)
メニューをすべて見る(18)
セルフホワイトニングサロンBianの詳細情報
セルフホワイトニングサロンBian
大阪府堺市北区中百舌鳥町3-358-1 ライフステージ村田7 (
地図
)
なかもず駅4分 / 中百舌鳥駅4分 / 白鷺駅11分 / 百舌鳥八幡駅14分
中百舌鳥(なかもず)駅から徒歩4分
エリア
中百舌鳥駅
営業時間
予約画面をご確認ください
お支払い
現金
現金可
クレジットカード
Mastercard / Visa / JCB / American Express / Diners Club / Discover
その他決済
PayPay / Apple Pay / QUICPay / iD / 交通系IC
席数
1席
駐車場
近くにコインパーキングあり
禁煙・喫煙
禁煙
お子様連れ
お子様連れ可
その他
メンズ歓迎
サロン電話番号
お問い合わせ先
ホワイトニングサロン Bian
フォト
メニュー
口コミ
堺市北区で他におすすめの美容サロン一覧
明日行ける堺市北区の美容サロン
メンズも歓迎な堺市北区の美容サロン
ヘアセットができる堺市北区の美容サロン
ヘッドスパができる堺市北区の美容サロン
大阪府で他におすすめの美容サロン一覧
明日行ける大阪府の美容サロン
メンズも歓迎な大阪府の美容サロン
ヘアセットができる大阪府の美容サロン
ヘッドスパができる大阪府の美容サロン
セルフホワイトニングサロンBian付近の駅の美容サロンを探す
中百舌鳥駅
白鷺駅
百舌鳥八幡駅