ホワイトニング ショップ津店の掲載
星アイコン星アイコン星アイコン星アイコン星アイコン
5.0
レビューアイコン2
いいね60
津駅10分
更新

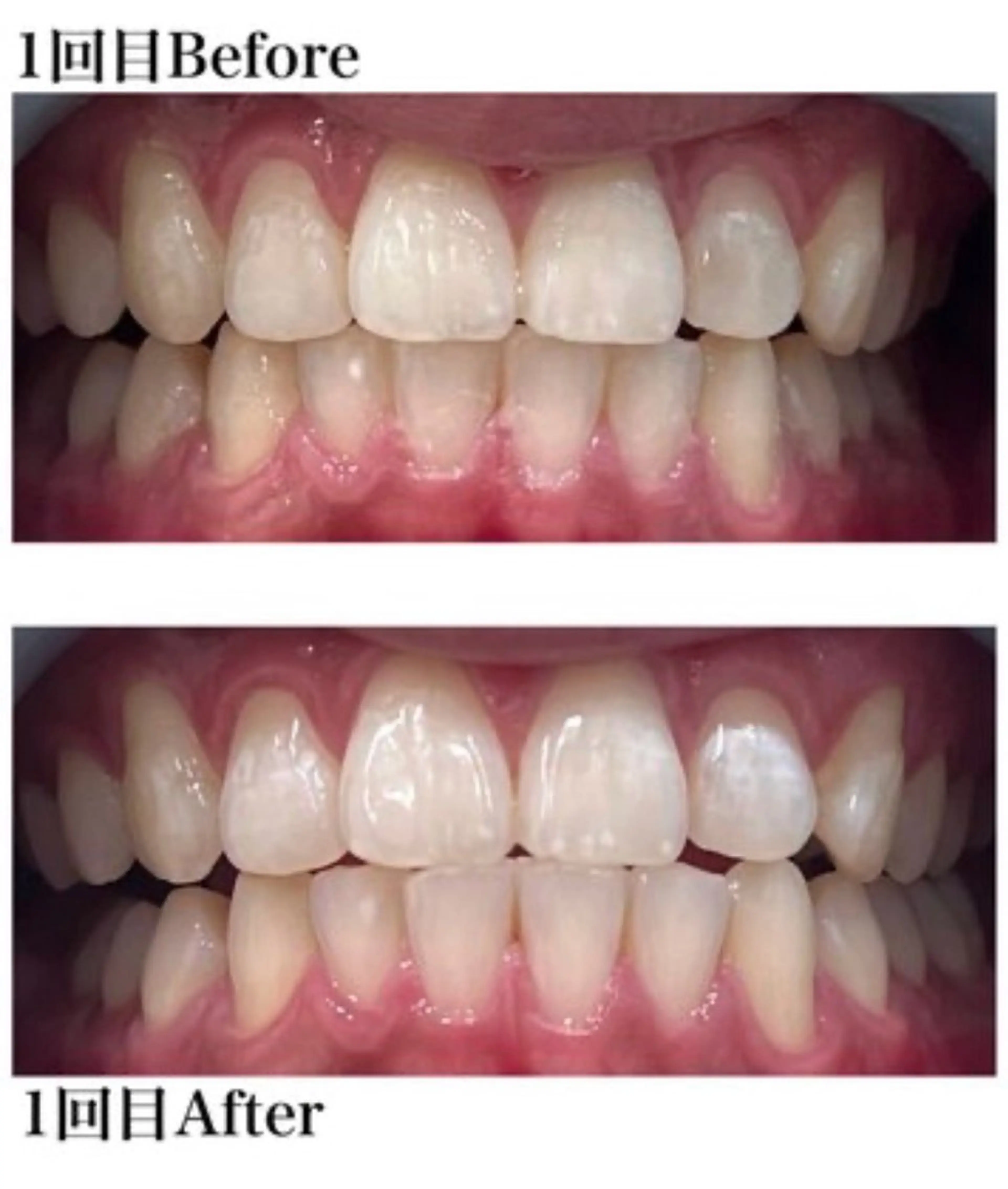
Q. 生活習慣はどんな感じです…

その他 ホワイトニング ショップ津店のその他イメージ

Q. 生活習慣はどんな感じですか? コーヒーをよく飲む習慣があり、 仕事中も飲み物を飲むことが多い生活です。 Q. 来店のきっかけは? 以前は歯科でホワイトニングをしていましたが、 料金が高くメンテナンスまで通い続けるのが難しくなり、 続けやすいホワイトニングを探して来店しました。 Q. 施術回数は? 12回 Q. 初回から何トーンアップ? 初回で3トーンアップ Q. 結果は? トータル9トーンアップ 以前の白さ以上の明るさになり、 口元がさらに清潔感のある印象に変化しました。 「無理なく続けられる価格なので これからもメンテナンスで通いたいです」と嬉しいお声もいただきました。

対応メニュー

【お昼割🕛】¥6980→¥2200🦷の写真
  • その他

【お昼割🕛】¥6980→¥2200🦷

新規¥2,200
新規¥2,200
【施術内容】カウンセリング(20分)→手順説明・施術体験→トーンチェック・カウンセリング(20分)

美容サロンカタログ一覧

メニュー・料金

  • 【お昼割🕛】¥6980→¥2200🦷の写真
    • その他

    【お昼割🕛】¥6980→¥2200🦷

    新規¥2,200
    新規¥2,200
  • お試しホワイトニング🦷【平日のみ】15分✖️1回¥1660🎶の写真
    • その他

    お試しホワイトニング🦷【平日のみ】15分✖️1回¥1660🎶

    新規¥1,660
    新規¥1,660
  • 【回数券お持ちの方】セルフホワイトニング次回予約用の写真
    • その他

    【回数券お持ちの方】セルフホワイトニング次回予約用

    リピーター¥0
    リピーター¥0
  • 【単発でご予約】来店2回目​〜​回数券お持ちでない方。セルフホワイトニング20分照射×2回の写真
    • その他

    【単発でご予約】来店2回目​〜​回数券お持ちでない方。セルフホワイトニング20分照射×2回

    リピーター¥6,980
    リピーター¥6,980
  • 【プレミアムコース✨】家族、友達、恋人とシェア可能!!セルフホワイトニング20分照射×50回の写真
    • その他

    【プレミアムコース✨】家族、友達、恋人とシェア可能!!セルフホワイトニング20分照射×50回

    全員¥65,000
    全員¥65,000

ホワイトニングショップ津店の詳細情報

  • ホワイトニングショップ津店の内観・外観1
  • ホワイトニングショップ津店の内観・外観2
  • ホワイトニングショップ津店の内観・外観3
ホワイトニングショップ津店
三重県津市羽所町517 ツツミビル3階 (地図)
津駅10分
エリア
津駅
営業時間
予約画面をご確認ください
席数
2席
駐車場
あり
禁煙・喫煙
禁煙
お子様連れ
お子様連れ可
サロン電話番号
お問い合わせ先