阿部 香織の掲載
阿部 香織のプロフィール画像

coco whitening&Beauty阿部 香織

経験年数 10年以上

星アイコン星アイコン星アイコン星アイコン星アイコン
5.0
レビューアイコン5
いいね144
みどりの駅20分
更新

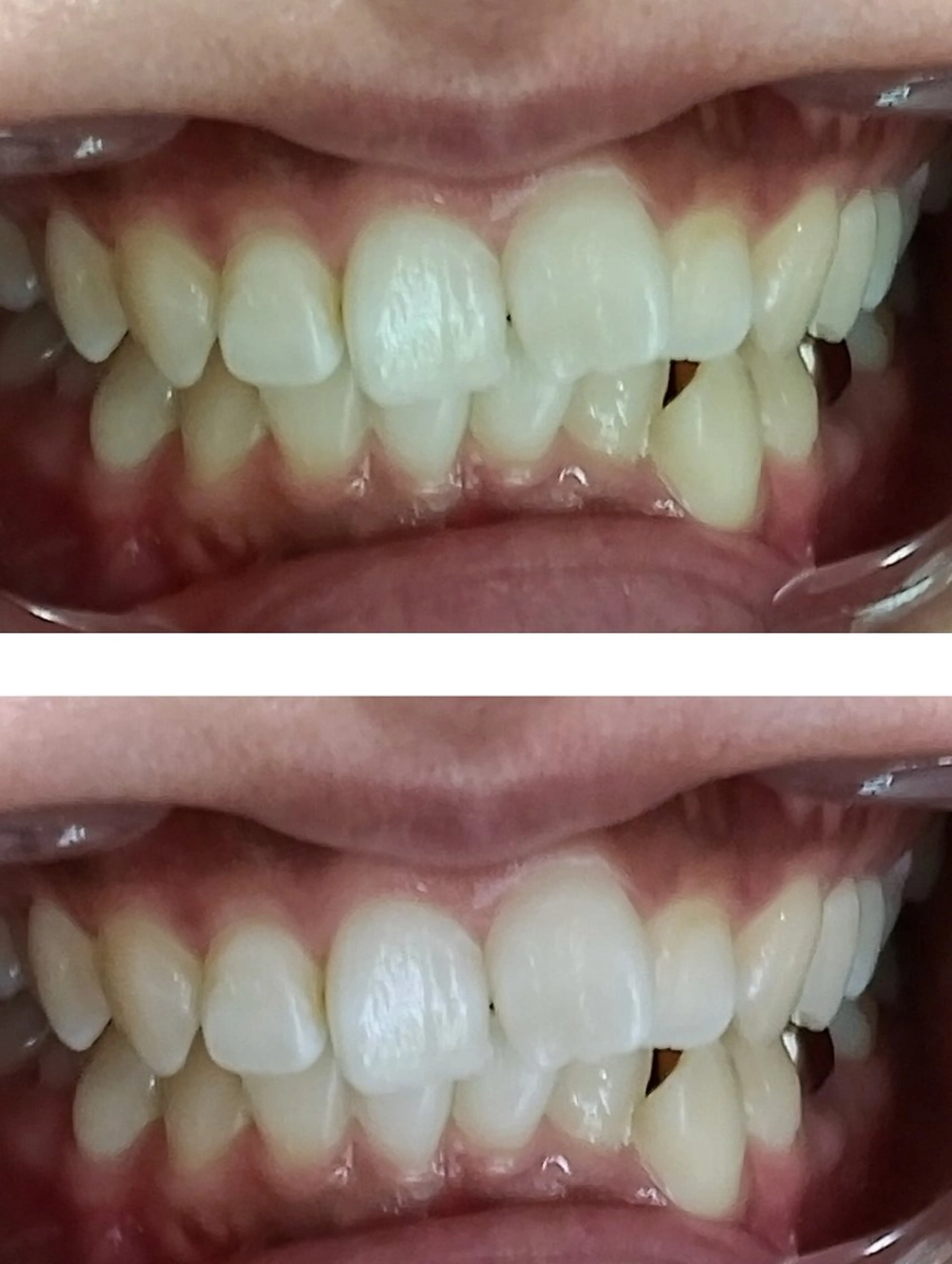
ホワイトニング10回目

阿部 香織のエステ・リラクイメージ

ホワイトニング10回目

ミニモ公式アプリでお得に予約

エステ・リラクフォト一覧

メニュー・料金

  • 【ご新規様限定】黄ばみ汚れを落とす歯科衛生士のホワイトニング¥2,980ミニモ限定の写真
    • ミニモ限定
    • エステ
    • リラク

    【ご新規様限定】黄ばみ汚れを落とす歯科衛生士のホワイトニング¥2,980ミニモ限定

    新規¥2,980
    新規¥2,980
    ミニモ
    限定
    キシリトールガムプレゼント🎁
  • 【ミニモ学割】15歳以上の学生セルフホワイトニング8分照射×2回の写真
    • ミニモ限定
    • エステ
    • リラク

    【ミニモ学割】15歳以上の学生セルフホワイトニング8分照射×2回

    新規¥2,560
    新規¥2,560
    ミニモ
    限定
    キシリトールガムプレゼント🎁
  • 【都度払いの方】黄ばみ汚れを落とす歯科衛生士のホワイトニング¥5,200の写真
    • ミニモ限定
    • その他

    【都度払いの方】黄ばみ汚れを落とす歯科衛生士のホワイトニング¥5,200

    リピーター¥5,200
    リピーター¥5,200
    ミニモ
    限定
    プチギフトプレゼント
  • 【3・4月限定】TIPハーブピーリング♪陶器肌¥14,000円→¥8,00円ミニモ限定の写真
    • ミニモ限定
    • エステ

    【3・4月限定】TIPハーブピーリング♪陶器肌¥14,000円→¥8,00円ミニモ限定

    新規¥8,000
    新規¥8,000
    ミニモ
    限定
    キシリトールガムプレゼント🎁
  • 【全員】ミニモ限定!黄土よもぎ蒸し¥4,000円の写真
    • ミニモ限定
    • その他

    【全員】ミニモ限定!黄土よもぎ蒸し¥4,000円

    全員¥4,000
    全員¥4,000
    ミニモ
    限定
    よもぎ蒸し4,000円

coco whitening&Beautyの詳細情報

  • coco whitening&Beautyの内観・外観1
  • coco whitening&Beautyの内観・外観2
  • coco whitening&Beautyの内観・外観3
coco whitening&Beauty
茨城県つくば市谷田部2417-97(陣場F7街区6) (地図)
みどりの駅20分
つくばエクスプレスみどりの駅から車約5分・徒歩約20分。 みずほ団地入口セブンイレブンをみずほ団地方向に行き、白とグレーの四角い家です。 サロンの真向かいに飯塚モーターさん(車屋)があり、美容室FEETさんの隣が自宅サロンです。          サロン看板が外に出ています。 自宅敷地内に1台駐車できます。
エリア
みどりの駅
営業時間
月 定休日 火 定休日 水 定休日 木 09:00-18:00 金 09:00-18:00 土 09:00-18:00 日 09:00-18:00 祝 09:00-18:00
お支払い
現金可
Mastercard / Visa / JCB / American Express / Diners Club / Discover
PayPay / Apple Pay / QUICPay / iD / 交通系IC
席数
1席
駐車場
あり
禁煙・喫煙
禁煙
お子様連れ
お子様連れ可
その他
メンズ歓迎
サロン電話番号
お問い合わせ先

coco whitening&Beauty付近の駅のエステ・リラクゼーションサロンを探す